“骨量很少,还能种牙吗?”
很多缺牙患者在咨询种牙时
常因牙槽骨骨量不足犯愁
一.骨高度仅2-3毫米,种牙遇难题
文昌的陈先生也曾为此困扰不已。陈先生因全口多颗牙齿缺失,尤其是右侧后牙区多颗牙齿仅剩残根,导致右侧咀嚼功能丧失,生活质量大打折扣。近日,他前往海南天成口腔医院(文昌分院)院长林书峰处就诊,希望通过种植牙恢复右侧咀嚼功能。
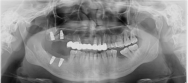
但术前的CBCT检查却发现一个棘手的问题:陈先生右上后牙一关键种植位点的牙槽骨骨高度仅有2-3mm(大概1元硬币厚度)!而常规种植体的高度通常在8mm以上,这意味着常规的种植方案无法施行。
“那是不是就没办法了?”陈先生忧心忡忡。
面对陈先生的疑虑,林书峰院长结合影像学检查综合评估,提出了一套可行的治疗方案——上颌窦提升术联合即拔即种,可在解决骨量不足的同时,缩短治疗周期。
林书峰院长介绍,种牙,其实就是把人工的“牙根”(种植体)植入牙槽骨头里,再装上假牙。但在上颌后牙的区域,由于先天性解剖结构——上颌窦的存在(“上颌窦”是一个空腔,内部充满空气而非骨头),再加上后天生理、病理性的骨吸收(牙齿发炎等),常常导致种植区域骨高度不足。这种情况一旦种植,不仅包裹植体的骨量不足,植体稳定性不够,还可能穿透上颌窦壁,造成种植失败。
而上颌窦提升术的原理是:将上颌窦底黏膜轻轻抬高,在黏膜与窦底之间创造出一个空间,植入骨替代材料(骨粉),从而增加可用骨高度和宽度,为种植体提供稳固的“地基”支持。
听了林书峰院长的讲解,陈先生欣然接受了治疗方案。
二.即拔即种,顺利植入4颗植体

▲林书峰院长(左一)为患者实施种牙手术资料图
在做好充分术前准备后,林书峰院长为陈先生实施了手术:
·首先,将陈先生右侧上、下颌无法保留的4颗残根一次性拔除。
·针对骨高度仅2-3毫米的右上后牙区,采用上颌窦外提升术,精准剥离并抬升窦底黏膜,同期植入骨粉,并顺利植入1颗4.3mm×10mm的种植体。
·通过即拔即种技术,林院长在本次手术中共为陈先生植入4颗种植体。
术后CBCT复查显示,上颌窦外提升区域的骨高度成功提升了6—7毫米,为种植体的长期稳定奠定了基础。
原本需要“拔牙—等待愈合—种牙手术”的漫长过程,如今一次手术即可完成,真正实现了“即拔即种”。

三.什么是即拔即种?
林书峰院长介绍,即拔即种是指在拔除无法保留的患牙后,立即在拔牙窝内植入种植体。该术式特点有:
·减少手术次数:拔牙与种植一次完成,患者无需等待拔牙窝愈合后再行二次手术。
·缩短治疗周期:相比常规方式(拔牙后等待3-6个月再种植),即拔即种可缩短整体修复时间。
·一定程度保存骨量:拔牙后即刻植入种植体,有助于减少牙槽骨的生理性吸收。
林书峰院长提醒:
即拔即种对患者的牙槽骨条件、身体健康状况及医生的技术要求较高,并非人人都适用,需要经过医生的严格评估后方可实施。

